Text Neck: A New Year's Resolution for You AND Your Teenagers
- Dr. Zachary Laboube

- Jan 1, 2020
- 4 min read

As a chiropractor, my job has changed tremendously over the past decade. Ten years ago, way back in early 2010, Text Neck wasn't even a consideration. In fact, I don't think I sent my first text message until 2007 or 2008. As a result, I never would have sent a 28 year old kid off for an X-ray of their neck unless there was trauma involved. Now, as we've entered the new decade, I have no choice.
I want to be brief with this blog because I want everyone to take the time to read it. The unfortunate thing is that it will likely be read from your cell phone with your head tilted at a 45 degree angle looking down into it. That's the problem.
In a city like Singapore, where the average student or worker spends 8-10 hours per day on a computer and the remainder looking down at a cell phones while commuting on the MRT, I'm seeing some remarkable and quite ugly changes in the health, specifically the spinal health, of my patients.
Not all of them. Just the ones from about the age of 35 and below. The patients older than that, take me for example, I'm 44, we have issues too, but it's from normal degeneration of the spine. Gravity isn't a friend of the human spine, but fortunately we have chiropractic to remedy its degenerative effects. As I say to my patients, pain doesn't have to be a by-product of aging.
The weird thing is that now I'm saying it to my patients that are 27 to 35. Some, even as young as 22 or 23, are presenting with upper back and neck pain accompanied by severe headaches. This isn't normal. It's alarming.
Puberty In the Shape of a 7
Ask yourself when you got your first cell phone, or first device? Was it before or after puberty? What I'm seeing is that if you're below the age of 35, there is a good chance you went through puberty looking down into your phone. The human spine isn't supposed to experience rapid growth hunched over in the shape of a 7. As a result, it's causing some major problems in the necks and upper backs of young people; both symptomatically in the form of pain and headaches, and structurally in the form kyphosis of the neck.
Premature degeneration of the neck is seen daily in my office. And it's not from blue collar workers. It's from bankers and IT personnel and basically anyone that sits in front of a computer all day.
The X-rays below are of a 27 year old female with the neck of a 50+ year old. She has none of the proper lordotic curve that the cervical spine should have, severely decreased disc space, especially between C3 and C6, and you can also see the beginning of osteophyte formation. These are all signs of early arthrosis are not findings one would expect to see in a 27 year old female.
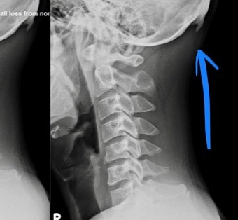
The X-ray with the blue arrow is of a 29 year old male with a horn growing out of the back of his head that has recently been diagnosed or classified by a group of Australian Chiropractors as an Occipital Spur. Their experience with these Occipital Spurs were recently covered by the Washington Post.
Whatever it is, it is obviously not normal. When the body senses injury on or near bone, it recruits calcium. That's how your body heals a broken bone, by recruiting calcium. As a result of the constant stress of looking down into a phone, the body senses injury to the attachment point on the occiput for all of the extensors muscles of the head, so it recruits calcium, which then accumulates to form this ugly and symptomatic spur. This patient (only 29 years old) has severe neck pain and headaches. We have 10 docs in our chiropractic clinics here in Singapore and each of us have at least 2-3 patients with Occipital Spurs.
What Can You Do to Prevent Text Neck in You and Your Teenagers?
The first thing you can do is be more conscientious of Text Neck in yourself and your teenagers, especially if they are pre-puberty age. You can do that by making it one of your New Year's Resolutions. Specifically, to prevent Text Neck in you and your teenagers, you can do the following:
When using your cell phone, keep your elbow in tight and raise the phone closer to eye level, using your eyes to look down rather than your neck. It's awkward and will take some getting accustomed to, but it will save your life over the course of the next 30-50 years.
Raise your monitors. Get them all at eye level. There are plenty of ergonomically accurate devices that you can purchase that allow you to raise your monitors regardless of whether it's a desktop or laptop. Spend the money on it.
Put your phone down. Look someone in the eye and chat with them. Pick up a basketball or a guitar. To break a bad habit, it first must be recognized as a habit. Phones are a bad habit. How much of what you do in your phone is merely out of boredom. Find something else to do.
Go visit your chiropractor. As chiropractors, we can't go back in time and remove the degeneration from the neck of you or your teenagers, but we can take an ugly and degenerated joint and make it really functional. And in the case of young people that are in puberty or just following puberty, we actually can mobilize the spine and use tools like a DennerRoll to reshape it, adding proper lordotic curve back to the neck.
How to Find the Right Chiropractor
Like anything, there are good and there are bad. There are good mechanics and there are bad mechanics. However, in the medical field, there are few bad dentists or doctors. And there are very few bad chiropractors. The one word of warning I will give you is to be assured that the treatment protocol your chiropractor provides you is based on your needs rather than their own.
Not to be a complete buzzkill as you begin the new decade, but I'm afraid that the worst thing about Text Neck is that the vast majority of the symptoms are yet to be felt.







This is concerning.